您的位置: 网站首页 >> 产品中心 >> 细胞 >> 原代细胞 > HPSAEpiC;人小气道上皮细胞(原代细胞)
产品名称:

HPSAEpiC;人小气道上皮细胞(原代细胞)

产品型号: 产品时间: 2023-03-27
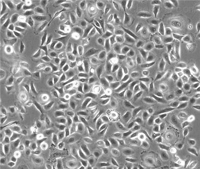
HPSAEpiC;人小气道上皮细胞(原代细胞)位于肺泡和导气管之间的界面处。气道上皮细胞在气道中形成连续的衬里,并且作为对外部有害物质的保护性物理和功能屏障起*的作用。小气道上皮细胞(SAEpiC)通过趋化因子产生[1]和粘附分子表达促进宿主防御来调节免疫反应[2]。它们还产生有助于肺液平衡的液体。许多气道疾病,例如哮喘,细支气管炎,慢性阻塞性肺病和囊性纤维化,涉及气道表面上皮的损伤。

产品概述

产品名称:HPSAEpiC;人小气道上皮细胞(原代细胞)​​

​ScienCell:3230

5×10^5个细胞/瓶

来自ScienCell研究实验室的HPSAEpiC从人肺组织中分离。HPSAEpiC在第1代冷冻保存并冷冻递送。每个小瓶含有>5×10^5个细胞,1ml体积。HPSAEpiC的特征在于用对CK-18,-19和波形蛋白特异的抗体的免疫荧光。HPSAEpiC对HIV-1,HBV,HCV,支原体,细菌,酵母和真菌均为阴性。在ScienCell研究实验室提供的条件下,HPSAEpiC保证进一步扩大15次群体倍增。​

​该产品仅供研究使用。它未被批准用于人类,动物或体外诊断程序。​

经检测无支原体、细菌、酵母和真菌污染

​​​​​​​​​​​​​​​​​​​​​​

小气道位于肺泡和导气管之间的界面处。气道上皮细胞在气道中形成连续的衬里,并且作为对外部有害物质的保护性物理和功能屏障起*的作用。小气道上皮细胞(SAEpiC)通过趋化因子产生[1]和粘附分子表达促进宿主防御来调节免疫反应[2]。它们还产生有助于肺液平衡的液体。许多气道疾病,例如哮喘,细支气管炎,慢性阻塞性肺病和囊性纤维化,涉及气道表面上皮的损伤。人类SAEpiC的研究可能有助于确定预防气道疾病的新治疗方案。​

T-24(膀胱变移细胞癌)
A375(人类恶性黑色素瘤)
CHRF(人巨核细胞白血病)
K562(慢性髓原白血病)
RD(恶性胚胎横纹肌瘤)

​在接收时将细胞从干冰直接并立即转移至液氮,并将细胞保持在液氮中直至实验需要细胞培养。

晅科生物为研究界提供各种高质量的正常人和动物细胞,细胞培养基和试剂,基因分析工具,细胞衍生的分子生物学产品,基于细胞的检测试剂盒和干细胞产品。

​客户在细胞培养过程中,有任何技术问题可以联系售后服务

​客户应具有一定细胞培养知识与经验,并具备基本实验设备,如细胞培养实验室、无菌操作台、CO2培养箱,倒置显微镜等;还应准备好相应的无菌培养基、血清、双抗、细胞培养瓶、培养板等。

 

晅科生物致力于为国内科研用户提供*质的产品,完善的服务。帮助您实验顺利。视天气状况和运输距离远近,公司与客户协商

公司优势:
1)质量:我司提供的的细胞为世界ATCC和Sciencell
2)价格:价格实惠,量大从优,产品价格随时会变动,实时报价还请来电获取。
4)服务:提供完整的售前、售后和售中服务。售后到底

如需订购HPSAEpiC;人小气道上皮细胞(原代细胞)​​​​​​​​​​​,请联系我们。

此外公司还提供:

Jecket(淋巴瘤细胞)
JAR(胚绒毛癌细胞)
PC-12未分化(大鼠肾上腺嗜铬细胞瘤)
WI-38(人二倍体胚肺细胞)
THP-1(人单核细胞)

留言框

  • 产品:

  • 您的单位:

  • 您的姓名:

  • 联系电话:

  • 常用邮箱:

  • 省份:

  • 详细地址:

  • 补充说明:

  • 验证码:

    请输入计算结果(填写阿拉伯数字),如:三加四=7
分享到:
版权所有©2019 上海晅科生物科技有限公司 备案号:京ICP证000000号
  • 扫一扫,关注我们