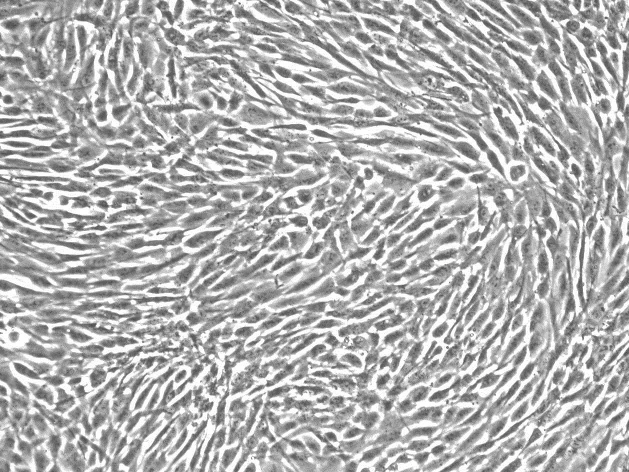
产品名称:HPA-v;人内脏脂肪细胞(原代细胞)
ScienCell:7210
5×10^5个细胞/瓶
来自ScienCell研究实验室的HPA-v从人内脏脂肪组织中分离出来。HPA-v在P0冷冻保存并冷冻。每个小瓶含有>1×10^6个细胞,1ml体积。HPA-v的特征在于免疫荧光,其具有对分化后CD44,CD90和脂质染色特异的抗体。HPA-v对HIV-1,HBV,HCV,支原体,细菌,酵母和真菌均为阴性。在ScienCell研究实验室提供的条件下,HPA-v可以保证进一步扩大5次群体倍增。
该产品仅供研究使用。它未被批准用于人类,动物或体外诊断程序。
经检测无支原体、细菌、酵母和真菌污染
脂肪细胞在能量储存和代谢中起重要作用。脂肪细胞分化是一种发育过程,对代谢稳态和营养信号传导至关重要。它受到涉及基因表达和信号转导的复杂行为的控制[1]。前脂肪细胞在成人生命中存在于脂肪组织中,并且可以增殖并分化成成熟脂肪细胞,有助于增加脂肪组织质量[2]。体外研究表明,各种组织来源的前脂肪细胞表现出不同的脂质积累,脂肪形成转录因子表达和TNFα诱导的细胞凋亡[3]。脂肪细胞分化与许多生理和病理过程(包括脂肪代谢,肥胖,糖尿病,高脂血症和乳腺癌)之间也存在密切关系。
前列腺癌细胞 |
肝细胞癌细胞 |
非雄激素依赖型前列腺癌 |
肝癌细胞 |
骨肉瘤细胞 |
晅科生物为研究界提供各种高质量的正常人和动物细胞,细胞培养基和试剂,基因分析工具,细胞衍生的分子生物学产品,基于细胞的检测试剂盒和干细胞产品。
客户在细胞培养过程中,有任何技术问题可以联系售后服务
客户应具有一定细胞培养知识与经验,并具备基本实验设备,如细胞培养实验室、无菌操作台、CO2培养箱,倒置显微镜等;还应准备好相应的无菌培养基、血清、双抗、细胞培养瓶、培养板等。
参考:
[1] M。(2004)Fad24,一种Noc3p的哺乳动物同源物,是脂肪细胞分化的正调节因子。J Cell Sci。117(第25栏):6217-26。
[2] SB(2001)在前脂肪细胞发育过程中积累的差异的证据:关注“白色和棕色前脂肪细胞中的差异基因表达”。生理基因组学。7(1):1-2。
[3] (2005)脂肪库中具有不同容量的两种人前脂肪细胞亚型的复制,脂肪形成和细胞凋亡的丰度变化。Am J Physiol Endocrinol Metab。288(1):E267-77。
培养基特征:原代细胞特制基础培养基含有原代细胞生长的必需氨基酸、维生素、无机物成份、有机物成份、微量元素、原代细胞生长的必需成分;不含有HIV、HBV、HCV、细菌、支原体、真菌、酵母;不含有内毒素;不含有苯;不含有血清。
晅科生物致力于为国内科研用户提供*质的产品,完善的服务。帮助您实验顺利。视天气状况和运输距离远近,公司与客户协商
1、从正常人、病人、小鼠、大鼠、兔、猪、牛等等组织中对原代细胞进行分离、培养、鉴定:我们将以客户要求为标准,提供多种属如正常人、病人、小鼠、大鼠、兔、猪、牛、其它动物原代细胞的分离、培养、鉴定,并提供相应的文件、资料、数据和检测证书。对于人源性细胞,必要时,在许可的条件下,我们尽可能的满足客户所提供的要求。
2、从建立实验性疾病动物(小鼠、大鼠、兔)模型体内组织中对原代细胞进行分离、培养、鉴定: 我们将以客户要求,建立标准实验性疾病动物模型,或客户提供实验性疾病动物模型,对原代细胞进行分离、培养、鉴定,并提供相应的文件、资料、数据和检测证书。
公司优势:
1)质量:我司提供的的细胞为世界ATCC和Sciencell
2)价格:价格实惠,量大从优,产品价格随时会变动,实时报价还请来电获取。
4)服务:提供完整的售前、售后和售中服务。售后到底
如需订购HPA-v;人内脏脂肪细胞(原代细胞),请联系我们。
此外公司还提供:
子宫内膜癌细胞 |
回盲肠腺癌细胞 |
绒癌细胞 |
低分化结肠腺癌细胞 |
前列腺癌细胞 |