您的位置: 网站首页 >> 产品中心 >> 细胞 >> 原代细胞 > HPLF;人牙周膜成纤维细胞(原代细胞)
产品名称:

HPLF;人牙周膜成纤维细胞(原代细胞)

产品型号: 产品时间: 2023-03-27
牙周韧带是位于牙齿牙骨质和下颌骨牙槽骨之间的结缔组织。它在牙周组织的维持和再生中起着*的作用。负责维持该组织的细胞被认为是成纤维细胞,其可以是多能的或由功能不同的异质细胞群组成。尽管与牙龈成纤维细胞具有相似的形态,HPLF;人牙周膜成纤维细胞(原代细胞)似乎在维持组织完整性方面显示出不同的功能活性[1]。已知PLF产生与成骨细胞相关的细胞外基质蛋白

产品概述

产品名称:HPLF;人牙周膜成纤维细胞(原代细胞)​​

​ScienCell:2630

5×10^5个细胞/瓶

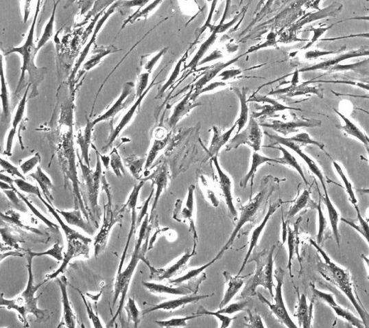
来自ScienCell研究实验室的HPLF从人牙周组织中分离出来。HPLF在*代冷冻保存并冷冻。每个小瓶含有>5×10^5个细胞,1ml体积。HPLF的特征在于其纺锤形态和用纤连蛋白特异性抗体的免疫荧光。HPLF对HIV-1,HBV,HCV,支原体,细菌,酵母和真菌均为阴性。在ScienCell研究实验室提供的条件下,HPLF保证进一步扩大15次群体倍增。​

​该产品仅供研究使用。它未被批准用于人类,动物或体外诊断程序。​

经检测无支原体、细菌、酵母和真菌污染

​​​​​​​​​​​​​​​​​​​​​​​​​​​​​​​​​​​​​​​​​​​​​​​​​​​​​​​​​​​​​​​​​​​​​​​​​

牙周韧带是位于牙齿牙骨质和下颌骨牙槽骨之间的结缔组织。它在牙周组织的维持和再生中起着*的作用。负责维持该组织的细胞被认为是成纤维细胞,其可以是多能的或由功能不同的异质细胞组成。尽管与牙龈成纤维细胞具有相似的形态,牙周韧带成纤维细胞(PLF)似乎在维持组织完整性方面显示出不同的功能活性[1]。已知PLF产生与成骨细胞相关的细胞外基质蛋白,并且与牙龈成纤维细胞相比显示出更高的碱性磷酸酶活性[2]。PLF积极参与牙周病的免疫和炎症事件[3]。​

大鼠肉瘤细胞
小鼠乳腺癌细胞
大鼠胰腺癌细胞株
小鼠骨髓瘤细胞
大鼠卵巢癌细胞株

晅科生物为研究界提供各种高质量的正常人和动物细胞,细胞培养基和试剂,基因分析工具,细胞衍生的分子生物学产品,基于细胞的检测试剂盒和干细胞产品。

​客户在细胞培养过程中,有任何技术问题可以联系售后服务

 

参考:

[1] (2002)通过DNA微阵列分析鉴定培养的人牙周膜成纤维细胞与人牙龈成纤维细胞中差异表达的基因。J Dent Res。81(6):399-405。
[2] (2003)新的从牙周韧带成纤维细胞中分离碱性磷酸酶阳性亚群。J eriodontol。74(6):780-6。
[3] (2003)用于牙周治疗的细胞因子调节的观点:成纤维细胞生物学。J Periodontol。74(1):103-10。​

晅科生物致力于为国内科研用户提供*质的产品,完善的服务。帮助您实验顺利。视天气状况和运输距离远近,公司与客户协商

 

1、从正常人、病人、小鼠、大鼠、兔、猪、牛等等组织中对原代细胞进行分离、培养、鉴定:我们将以客户要求为标准,提供多种属如正常人、病人、小鼠、大鼠、兔、猪、牛、其它动物原代细胞的分离、培养、鉴定,并提供相应的文件、资料、数据和检测证书。对于人源性细胞,必要时,在许可的条件下,我们尽可能的满足客户所提供的要求。

2、从建立实验性疾病动物(小鼠、大鼠、兔)模型体内组织中对原代细胞进行分离、培养、鉴定: 我们将以客户要求,建立标准实验性疾病动物模型,或客户提供实验性疾病动物模型,对原代细胞进行分离、培养、鉴定,并提供相应的文件、资料、数据和检测证书。 

​3NK、γδT、CD3AK、DC、CIK等特定免疫细胞的分离、诱导、表型鉴定、扩增和定向改造。

 

公司优势:
1)质量:我司提供的的细胞为世界ATCC和Sciencell
2)价格:价格实惠,量大从优,产品价格随时会变动,实时报价还请来电获取。
4)服务:提供完整的售前、售后和售中服务。售后到底

 

如需订购HPLF;人牙周膜成纤维细胞(原代细胞)​​​​​​​​​​​​​​​​​,请联系我们。

此外公司还提供:

KM小鼠未分化神经胶质瘤瘤株
小鼠Lewis肺癌瘤株
615小鼠前胃癌瘤株
小鼠乳腺癌细胞株
小鼠肾癌细胞株

留言框

  • 产品:

  • 您的单位:

  • 您的姓名:

  • 联系电话:

  • 常用邮箱:

  • 省份:

  • 详细地址:

  • 补充说明:

  • 验证码:

    请输入计算结果(填写阿拉伯数字),如:三加四=7
分享到:
版权所有©2019 上海晅科生物科技有限公司 备案号:京ICP证000000号
  • 扫一扫,关注我们