您的位置: 网站首页 >> 产品中心 >> >> 抗体 > 锚蛋白重复结构域蛋白33B抗体
产品名称:

锚蛋白重复结构域蛋白33B抗体

产品型号: 产品时间: 2023-03-08
锚蛋白重复结构域蛋白33B抗体双iregulin的表达是由佛波酯、雌激素、雄激素和其他EGFR配体诱导的。在体外,安非他命作为一种自分泌生激物来驱动结肠癌细胞、正常和癌基因转化的乳腺上皮细胞、宫颈癌细胞、前列腺癌细胞和角质细胞的增殖。两性霉素在人胎盘和小鼠乳腺发育中起重要作用。据报道,它在乳腺癌、结肠癌、胃癌和胰腺癌中过度表达。

产品概述

英文名称:Anti-ANKRD33B​

中文名称:锚蛋白重复结构域蛋白33B抗体

抗体来源:兔

克隆类型:多克隆

交叉反应:人、大鼠、小鼠、狗、猪、牛、兔、羊​

产品应用:WB=1:500-2000 ELISA=1:500-1000 IHC-P=1:400-800 IHC-F=1:400-800 IF=1:50-200(石蜡切片需做抗原修复)  ​

尚未在其他应用程序中测试。

用户终应确定合适稀释浓度。

分子量:54kDa

细胞定位:细胞核 细胞浆

状态:冻干或液体

浓度:1mg/ml

来源于:KLH conjugated synthetic peptide derived from human ANKRD33B:401-494/494

亚型:IgG

纯化方法:affinity purified by Protein A

储存液:0.01M TBS(pH7.4) with 1% BSA, 0.03% Proclin300 and 50% Glycerol.

​别    名:AN33B_HUMAN; Ankrd33b; Ankyrin repeat domain-containing protein 33B; RGD1564227.  ​

保存条件:在-20°C下保存一年。避免重复冻融循环。冻干抗体在室温下至少稳定一个月,并在-20°C下保持一年以上。当在无菌pH7.4 0.01M PBS或抗体稀释剂中重组时,抗体在2-4°C下至少稳定两周。

产品介绍

双iregulin的表达是由佛波酯、雌激素、雄激素和其他EGFR配体诱导的。在体外,安非他命作为一种自分泌生激物来驱动结肠癌细胞、正常和癌基因转化的乳腺上皮细胞、宫颈癌细胞、前列腺癌细胞和角质细胞的增殖。两性霉素在人胎盘和小鼠乳腺发育中起重要作用。据报道,它在乳腺癌、结肠癌、胃癌和胰腺癌中过度表达。​

功能

egf受体/egfr的配体。自分泌生长因子,以及广泛的靶细胞,包括星形胶质细胞,Schwann细胞和成纤维细胞的有丝分裂原。​

亚单位

未成熟前体与CNIH相互作用。​

膜;单通道膜蛋白。​

​​​​​​​​​​

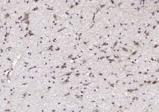
多聚甲醛固定,石蜡包埋(小鼠小脑);经柠檬酸钠缓冲液(pH6.0)煮沸15min后获得抗原;用3%过氧化氢阻断内源过氧化物酶20分钟;阻断缓冲液(正常山羊血清)37℃30min;抗体(AKRD33 B)多克隆抗体在1:200孵育。在4°C下过夜,然后根据SP试剂盒(兔子)说明和DAB染色进行操作。

 

重要注意事项:

本产品仅用于研究用途,不用于人类、治疗或诊断应用。

公司优势:
1)质量:我司提供的的试剂为世界
2)价格:价格实惠,量大从优。
4)服务:提供完整的售前、售后和售中服务。售后到底

如需订购锚蛋白重复结构域蛋白33B抗体​​,请联系我们。

anti-β-arrestin 1/2(beta-arrestin 1/2)  β-抑制蛋白1/2抗体
anti-ARIP2B(Activin receptor 2B)  激活素受体2B/激活素受体相互作用蛋白2b抗体
Anti-ART(Artemin)  胶质细胞系源性神经营养因子GDNF的一种抗体
Anti-ARα1(α1-adrenergic receptor)  α1肾上腺素能受体抗体
Anti-ASCL1/MASH1 (achaete-scute complex homolog-like protein 1)  神经母细胞特异性转移因子抗体
anti-ASPP1(apoptosis stimulating protein of P53 1)  p53凋亡刺激蛋白1抗体
anti-ASPP2(apoptosis stimulating protein of P53 2)  P53凋亡刺激蛋白2

留言框

  • 产品:

  • 您的单位:

  • 您的姓名:

  • 联系电话:

  • 常用邮箱:

  • 省份:

  • 详细地址:

  • 补充说明:

  • 验证码:

    请输入计算结果(填写阿拉伯数字),如:三加四=7
分享到:
版权所有©2019 上海晅科生物科技有限公司 备案号:京ICP证000000号
  • 扫一扫,关注我们