英文名称:Anti-Arginase II
中文名称:精氨酸酶2抗体(ARG2)
抗体来源:兔
克隆类型:多克隆
交叉反应:人,大鼠,小鼠,鸡,狗,牛,兔子
产品应用:WB=1:500-2000 ELISA=1:500-1000 IHC-P=1:400-800 IHC-F=1:400-800 ICC=1:100-500 IF=1:100-500(石蜡切片需做抗原修复)
尚未在其他应用程序中测试。
用户终应确定合适稀释浓度。
分子量:36kDa
细胞定位:细胞浆
状态:冻干或液体
浓度:1mg/ml
来源于:KLH conjugated synthetic peptide derived from human Arginase II:181-290/354
亚型:IgG
纯化方法:affinity purified by Protein A
储存液:0.01M TBS(pH7.4) with 1% BSA, 0.03% Proclin300 and 50% Glycerol.
别 名:ARG 2; ARG2; ARGI2_HUMAN; Arginase-2; Arginase 2Arginase2; Arginase liver; Arginase type II; Arginase II; ArginaseII; Arginase-II; Arginase1; Arginase-2, mitochondrial; Kidney-type arginase; Non-hepatic arginase; Type II arginase;
保存条件:在-20°C下保存一年。避免重复冻融循环。冻干抗体在室温下至少稳定一个月,并在-20°C下保持一年以上。当在无菌pH7.4 0.01M PBS或抗体稀释剂中重组时,抗体在2-4°C下至少稳定两周。
产品介绍
精氨酸酶I(也被称为肝型精氨酸酶),几乎只在肝脏中表达,催化精氨酸转化为鸟氨酸和尿素(1)。人类精氨酸酶I基因,定位于染色体6q23,编码一个322氨基酸蛋白。精氨酸酶I以同源三聚体蛋白存在,含有双核锰簇(2-4)。精氨酸酶II催化与精氨酸酶I相同的反应,但其组织特异性和亚细胞位置不同(5,6)。具体来说,精氨酸酶II定位于线粒体(5,6)。精氨酸酶II在非肝组织中表达,在肾脏中表达高,但与精氨酸酶I不同,精氨酸酶II不在肝脏中表达(5,6)。人类精氨酸酶II基因(定位于染色体14q24.1)编码354个氨基酸蛋白(3,5-7)。此外,精氨酸酶II含有一个假定的氨基末端线粒体定位序列(5,6)。
功能:
可能在调节尿素外循环精氨酸代谢和降低一氧化氮合成中起作用。肝外精氨酸酶调节L-精氨酸对NO合成酶的生物利用度。由于阴茎海绵体平滑肌、海绵体和阴道中未发现合成酶,精氨酸酶II在男性和女性性唤起中起作用。因此,它是治疗男性和女性性唤起障碍的潜在目标。
Subunit:
同质三聚体
亚细胞位置:
细胞质。
组织特异性:
在肾脏和前列腺中表达,在大脑、骨骼肌、胎盘、肺、乳腺、巨噬细胞、子宫、睾丸和肠道中表达较少,但在肝脏、心脏和胰腺中明显不表达。
相似性:
属于精氨酸酶家族。
本产品仅用于研究用途,不用于人类、治疗或诊断应用。
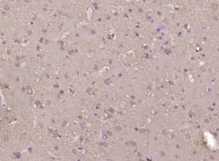
多聚甲醛固定,石蜡包埋(人脑胶质瘤);用柠檬酸钠缓冲液(pH6.0)煮沸15min后获得抗原;用3%过氧化氢阻断内源性过氧化物酶20分钟;阻断缓冲液(正常山羊血清)在37℃下30min;用未结合的(精氨酸酶II)多克隆抗体进行抗体孵育。1:400在4°C下过夜,然后根据SP试剂盒(兔子)说明和DAB染色进行操作。
重要注意事项:
本产品仅用于研究用途,不用于人类、治疗或诊断应用。
公司优势:
1)质量:我司提供的的试剂为世界
2)价格:价格实惠,量大从优。
4)服务:提供完整的售前、售后和售中服务。售后到底
如需订购精氨酸酶2抗体(ARG2),请联系我们。
Anti-CD4(Mouse Anti-Human CD4 Monoclonal) 鼠抗人CD4单克隆抗体 |
Anti-CD4(Rabbit Anti-Human Mouse rat CD4 Palyclonal Antibody) CD4抗体 |
Anti-CD4(Rabbit Anti-Human Mouse rat CD4 Palyclonal Antibody) CD4抗体 |
anti-CD40L (CD40 Ligand/TNFSF5/CD154) 抗CD40L抗体 |
Anti-CD44 CD44抗体 |
Anti-CD45(LCA) CD45(白细胞共同抗原)抗体 |
Anti-CD49/VLA(very late antigens) CD49(非常晚期抗原)抗体 |