英文名称:Anti-ATF6
中文名称:活化转录因子6抗体(ATF6)
抗体来源:兔
克隆类型:多克隆
交叉反应:人、大鼠、小鼠、狗、猪、牛、马、兔、羊
产品应用:WB=1:500-2000 ELISA=1:500-1000 IHC-P=1:400-800 IHC-F=1:400-800 ICC=1:100-500 IF=1:100-500(石蜡切片需做抗原修复)
尚未在其他应用程序中测试。
用户终应确定合适稀释浓度。
分子量:75kDa
细胞定位:细胞核
状态:冻干或液体
浓度:1mg/ml
来源于:KLH conjugated synthetic peptide derived from human ATF6:431-530/670
亚型:IgG
纯化方法:affinity purified by Protein A
储存液:0.01M TBS(pH7.4) with 1% BSA, 0.03% Proclin300 and 50% Glycerol.
别 名:Activating transcription factor 6 alpha; Activating transcription factor 6; ATF 6; ATF6 alpha; ATF6; ATF6-alpha; ATF6A; ATF6A_HUMAN; cAMP dependent transcription factor ATF 6 alpha; cAMP-dependent transcription factor ATF-6 alpha; Cyclic AMP dependent transcription factor ATF 6 alpha; DKFZp686P2194; ESTM49; FLJ21663; Processed cyclic AMP dependent transcription factor ATF 6 alpha; Processed cyclic AMP-dependent transcription factor ATF-6 alpha.
保存条件:在-20°C下保存一年。避免重复冻融循环。冻干抗体在室温下至少稳定一个月,并在-20°C下保持一年以上。当在无菌pH7.4 0.01M PBS或抗体稀释剂中重组时,抗体在2-4°C下至少稳定两周。
产品介绍
ATF6是一种通过激活未折叠蛋白反应靶基因在内质网应激过程中起作用的转录因子。结合ER应激反应元件(ERSE)(5’-CCAAT-N(9)-CCAC[GA]-3’)和ERSE II(5’-ATTGG-N-CCACG-3’)的5’-CCAC[GA]-3’一半上的DNA。绑定到ERSE需要将nf-y绑定到ERSE。ATF6也可能参与转录激活的血清反应因子。ATF6与ATF6β以同二聚体和异二聚体的形式存在。二聚体与核转录因子Y(NF-Y)三聚体通过与NF-Y亚基C(NF-YC)直接结合而相互作用。也与转录因子GTF2I、YY1和SRF相互作用。在内质网应激下,分裂的N端细胞质域易位进入细胞核。ATF6的基本结构域起着核定位信号的作用,而亮氨酸的基本结构域足以与NF-Y三聚体结合并与ERSE结合。在未折叠蛋白反应过程中,蛋白质水解释放了一个约50kDa的包含细胞质转录因子域的片段。解理似乎是由位点1和位点2蛋白酶依次进行的。ATF6是由MAPK14/p38MAPK在体外经N糖基化、磷酸化的,属于Bzip家族。
功能:
通过激活未折叠蛋白反应靶基因在内质网应激期间起作用的转录因子。结合ER应激反应元件(ERSE)(5’-CCAAT-N(9)-CCAC[GA]-3’)和ERSE II(5’-ATTGG-N-CCACG-3’)的5’-CCAC[GA]-3’一半上的DNA。绑定到ERSE需要将nf-y绑定到ERSE。也可以参与转录激活的血清反应因子。
Subunit:
具有ATF6β的同二聚体和异二聚体。二聚体与核转录因子Y(NF-Y)三聚体通过与NF-Y亚基C(NF-YC)直接结合而相互作用。也与转录因子GTF2I、YY1和SRF相互作用。
亚细胞位置:
内质网膜;单通道Ⅱ型膜蛋白。
加工环腺苷酸依赖转录因子ATF-6α:核。注=在内质网应激下,分裂的N端细胞质域易位进入细胞核。
组织特异性:
无处不在的.
翻译后修改:
在未折叠蛋白反应期间,蛋白质水解释放一个含有细胞质转录因子域的约50kDa片段。切割似乎是由位点1和位点2蛋白酶依次进行的。
N-糖基化。糖基化状态可作为内质网稳态的传感器,导致ATF6激活,触发未折叠蛋白反应(UPR)。
MAPK14/p38MAPK体外磷酸化。
相似性:
属于bzip家族。ATF亚家族
包含1个bzip(基本亮氨酸拉链)域。
本产品仅用于研究用途,不用于人类、治疗或诊断应用。
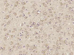
多聚甲醛固定,石蜡包埋(大鼠脑);用柠檬酸钠缓冲液(pH6.0)煮沸15min;用3%过氧化氢阻断内源过氧化物酶20分钟;阻断缓冲液(正常山羊血清)37℃30min;抗体(ATF6)多克隆抗体在1:400过夜。在4°C下,然后根据SP试剂盒(兔子)说明和DAB染色进行操作。
重要注意事项:
本产品仅用于研究用途,不用于人类、治疗或诊断应用。
公司优势:
1)质量:我司提供的的试剂为世界
2)价格:价格实惠,量大从优。
4)服务:提供完整的售前、售后和售中服务。售后到底
如需订购活化转录因子6抗体(ATF6),请联系我们。
Anti-EphA2 R(Ephrin A2 Receptor) 酪氨酸蛋白激酶受体A2抗体 |
Anti-EphB2 R (Ephrin B2 Receptor) 酪氨酸蛋白激酶受体B2抗体 |
Anti-ER 雌激素受体 |
Anti-ERAB 内质网Aβ相关结合蛋白抗体 |
Anti-ERK2/ERK (MAPK-1/2,MAPK-α ,ERK2,MAPK1,MAPK2, p42MAPK) 丝裂原活化蛋白激酶1/2抗体 |
Anti-MAPK1/ERK3 (Mitogen-activated protein kinase 3; P44MAPK) 丝裂原活化蛋白激酶3抗体 |
Anti-ER-α(Estrogen) 雌激素受体抗体 |
Anti-ER-α(Estrogen) 雌激素受体α抗体 |
Anti-ER-α/β Estrpgen Receptor α/β 雌激素受体α/β抗体 |