英文名称:Anti-Angiotensin II Type 1 Receptor
中文名称:血管紧张素Ⅱ-1型受体抗体(AT1R)
抗体来源:兔
克隆类型:多克隆
交叉反应:人、大鼠、小鼠、牛、羊
产品应用:WB=1:500-2000 IHC-P=1:400-800 IHC-F=1:400-800 IF=1:100-500(石蜡切片需做抗原修复)
尚未在其他应用程序中测试。
用户终应确定合适稀释浓度。
分子量:39kDa
细胞定位:细胞浆 细胞膜
状态:冻干或液体
浓度:1mg/ml
来源于:KLH conjugated synthetic peptide derived from human AT1R:151-250/359 <Extracellular>
亚型:IgG
纯化方法:affinity purified by Protein A
储存液:0.01M TBS(pH7.4) with 1% BSA, 0.03% Proclin300 and 50% Glycerol.
别 名:AG2S; Agtr 1; Agtr1; Agtr1a; AGTR1B; Angiotensin II receptor type 1; Angiotensin II type 1 receptor; AT-1B; AT-1r; AT1; At1a; AT1AR; AT1B; AT1BR; AT2R1; AT2R1A; AT2R1B; HAT1R; Type 1 angiotensin II receptor; AGTR1_HUMAN; Type-1 angiotensin II receptor; Angiotensin II type-1 receptor; AT1R; Ang II; Angiotensin II receptor type 1; Angiotensin II type 1 receptor; Angiotensin receptor 1; Angiotensin receptor 1B; AT 1B; AT1; AT1R.
保存条件:在-20°C下保存一年。避免重复冻融循环。冻干抗体在室温下至少稳定一个月,并在-20°C下保持一年以上。当在无菌pH7.4 0.01M PBS或抗体稀释剂中重组时,抗体在2-4°C下至少稳定两周。
产品介绍
血管紧张素II是一种有效的血管加压激素和醛固酮分泌的主要调节器。它是心血管系统中控制血压和容积的重要效应器。通过至少两种受体发挥作用。该基因编码1型受体,被认为是介导血管紧张素II的主要心血管作用。该基因可能在缺血或梗死心肌血流恢复后再灌注心律失常的发生中起作用。以前人们认为存在一个相关基因,称为agtr1b;然而,现在人们认为人类只有一个1型受体基因。该基因至少有5个转录变体。已经描述了其他变体,但尚未确定它们的全长性质。整个编码序列包含在末端外显子中,并存在于所有转录变体中。[由RefSeq提供]。
功能:
血管紧张素II受体。通过与激活磷脂酰肌醇钙第二信使系统的G蛋白结合来介导其作用。
Subunit:
与MAS1相互作用(可能)。与ARRB1相互作用。
亚细胞位置:
细胞膜;多道膜蛋白。
组织特异性:
肝、肺、肾上腺和肾上腺皮质腺瘤。
翻译后修改:
c-末端ser或thr残基可以被磷酸化。
疾病:
肾小管发育不全(RTD)【MIM:267430】:常染色体隐性肾小管发育严重障碍,以持续性胎儿无尿和围产期死亡为特征,可能是由于早期发病的羊水过少(波特表型)引起的肺发育不全所致。注=该疾病是由影响本条所述基因的突变引起的。
相似性:
属于G蛋白偶联受体1家族。
AT1-受体:血管紧张素Ⅱ-1型受体抗体,主要用于心血管病方面的研究。
重要注意事项:
本产品仅用于研究用途,不用于人类、治疗或诊断应用。
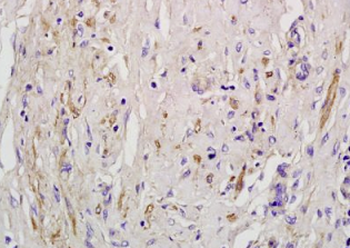
组织/细胞:人肺炎组织;4%多聚甲醛固定石蜡包埋;
抗原提取:柠檬酸缓冲液(0.01M,pH 6),15min煮沸,用3%过氧化氢阻断内源性过氧化物酶30min;37℃下阻断缓冲液(正常山羊血清)20 min;
孵育:抗at1r/agtr1多克隆抗体,未结合1:200,4℃过夜,然后与二级抗体结合,DAB染色。
公司优势:
1)质量:我司提供的的试剂为世界
2)价格:价格实惠,量大从优。
4)服务:提供完整的售前、售后和售中服务。售后到底
如需订购血管紧张素Ⅱ-1型受体抗体(AT1R),请联系我们。
Anti-GRP78(glucose regulated protein 78) 葡萄糖调节蛋白78抗体 |
Anti-GRP94 (gp96) 葡萄糖调节蛋白94抗体 |
Anti-GSK-3β (Glycogen Synthase Kinase-3)(CT) 葡萄糖合成激酶-3β抗体 |
Anti-GSK-3β (Glycogen Synthase Kinase-3β)(NT) 糖原合酶激酶-3β抗体 |
Anti-GTP-CH-1 三磷酸鸟苷环水解酶抗体 |
Anti-H5N1-M2(Avian influenza Matrix Protein-2) H5N1流感病毒M2型抗体 |
Anti-Haase(hyaluronidase) 透明质酸酶/玻璃酸酶抗体 |
anti-HA tag HA tag标签抗体 |
Anti-HAI-1 (Hepatocyte Growth Factor Activator Inhibitor 1) 肝细胞生长因子激活物抑制因子抗体 |