英文名称:Anti-ATPase Na+/K+ beta 2
中文名称:钠钾ATP酶通道蛋白抗体(ATP1b2)
抗体来源:兔
克隆类型:多克隆
交叉反应:人、大鼠、小鼠、猪、牛、马、兔、豚鼠
产品应用:WB=1:500-2000 ELISA=1:500-1000 IHC-P=1:400-800 IHC-F=1:400-800 ICC=1:100-500 IF=1:100-500(石蜡切片需做抗原修复)
尚未在其他应用程序中测试。
用户终应确定合适稀释浓度。
分子量:33kDa
细胞定位:细胞膜
状态:冻干或液体
浓度:1mg/ml
来源于:KLH conjugated synthetic peptide derived from human ATP1b2:201-290/290 <Extracellular>
亚型:IgG
纯化方法:affinity purified by Protein A
储存液:0.01M TBS(pH7.4) with 1% BSA, 0.03% Proclin300 and 50% Glycerol.
别 名:adhesion molecule on glia; Na+K+ATPase; AMOG; AT1B2; AT1B2_HUMAN; ATP1B2; ATPase Na+/K+ transporting beta 2 polypeptide; ATPB2; ATPB2S; MGC93648; Na+/K+ -ATPase beta 2 subunit; Na, K ATPase beta 2 polypeptide; RATATPB2S; sodium potassium ATPase subunit beta 2 (non-catalytic); sodium pump subunit beta 2; sodium/potassium dependent ATPase beta 2 subunit; Sodium/potassium dependent ATPase subunit beta 2; sodium/potassium transporting ATPase beta 2 chain; sodium/potassium transporting ATPase subunit beta 2; Sodium/potassium-dependent ATPase subunit beta-2; Sodium/potassium-transporting ATPase subunit beta-2.
保存条件:在-20°C下保存一年。避免重复冻融循环。冻干抗体在室温下至少稳定一个月,并在-20°C下保持一年以上。当在无菌pH7.4 0.01M PBS或抗体稀释剂中重组时,抗体在2-4°C下至少稳定两周。
产品介绍
该基因编码的蛋白质属于Na+/K+和H+/K+ATPasesβ链蛋白家族,属于Na+/K+ATPases亚家族。Na+/K+-ATPase是一种完整的膜蛋白,负责建立和维持钠和钾离子在质膜上的电化学梯度。这些梯度对于渗透调节、各种有机和无机分子的钠耦合转运以及神经和肌肉的电兴奋性是*的。这种酶由两个亚单位组成,一个大的催化亚单位(α)和一个小的糖蛋白亚单位(β)。β亚单位通过α/β异二聚体的组装调节输送到质膜的钠泵的数量。a+/k+-atpase的糖蛋白亚单位由多个基因编码。这个基因编码一个β2亚单位。[参考文献编号:2008年7月]
功能:
这是活性酶的非催化成分,它催化ATP水解,并通过质膜交换钠离子和钾离子。β-2亚单位的确切功能尚不清楚。
Subunit:
由三个亚单位组成:α(催化)、β和γ。
亚细胞位置:
膜;单通道II型膜蛋白。
相似性:
属于x(+)/钾ATP酶亚单位β家族。
重要注意事项:
通道蛋白(Channel Protein)
钠钾ATP酶是位于细胞膜上的一种糖蛋白,与ATP 的分解和细胞内外钠、钾离子的转运密切相关,哺乳动物各种组织细胞的钠钾ATP 酶的免疫学特性基本相同。
本产品仅用于研究用途,不用于人类、治疗或诊断应用。
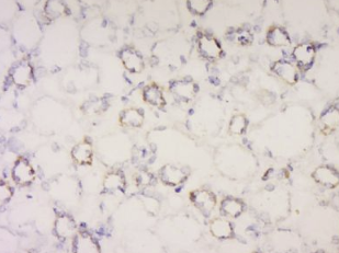
组织/细胞:人体肾组织;4%多聚甲醛固定石蜡包埋;
抗原提取:柠檬酸缓冲液(0.01M,pH 6),15min煮沸,用3%过氧化氢阻断内源性过氧化物酶30min;37℃下阻断缓冲液(正常山羊血清)20 min;
孵育:抗AMOG多克隆抗体,未结合1:500,在4°C下过夜,然后与二级抗体结合,DAB染色。
公司优势:
1)质量:我司提供的的试剂为世界
2)价格:价格实惠,量大从优。
4)服务:提供完整的售前、售后和售中服务。售后到底
如需订购钠钾ATP酶通道蛋白抗体(ATP1b2),请联系我们。
Anti-HCV-HCBP1/ACY-3(Hepatitis C virus core-binding protein 1) 丙型肝炎病毒核心蛋白结合蛋白-1抗体 |
Anti-HCV-NS1 丙型肝炎病毒-NS1抗体 |
Anti-HCV-NS3 丙型肝炎病毒-NS3抗体 |
Anti-HCV-NS4a 丙型肝炎病毒-NS4a抗体 |
Anti-HDL-R(High Density Lipoprotein Receptor) 高密度脂蛋白受体抗体 |
Anti-Heamachrome 血红素抗体 |
Anti-HEV 戊型肝炎病毒抗体 |
Anti-HGF(hepatocyte growth factor) 肝细胞生长因子抗体 |