您的位置: 网站首页 >> 产品中心 >> >> 抗体 > β-抑制蛋白2/β休止蛋白2/β-arrestin抗体
产品名称:

β-抑制蛋白2/β休止蛋白2/β-arrestin抗体

产品型号: 产品时间: 2023-03-08
抑制蛋白/β-抑制蛋白家族的成员被认为参与激动剂介导的G蛋白偶联受体脱敏,并导致细胞对激素、神经递质或感觉信号等刺激反应的特异性抑制。抑制蛋白β2和抑制蛋白β1一样,在体外被证明能抑制β肾上腺素能受体的功能。在中枢神经系统中高水平表达,β-抑制蛋白2/β休止蛋白2/β-arrestin抗体可能在突触受体的调节中起作用。

产品概述

英文名称:Anti-Beta arrestin 2​​

中文名称:β-抑制蛋白2/β休止蛋白2/β-arrestin抗体

抗体来源:兔

克隆类型:多克隆

交叉反应:人、大鼠、小鼠​​​​​、鸡、狗、猪、牛、马、兔、豚鼠​​​​

产品应用:WB=1:500-2000 ELISA=1:500-1000 IHC-P=1:400-800 IHC-F=1:400-800 IF=1:100-500(石蜡切片需做抗原修复)  ​

尚未在其他应用程序中测试。

用户终应确定合适稀释浓度。

分子量:45kDa

细胞定位:细胞核 细胞浆 细胞膜 ​

状态:冻干或液体

浓度:1mg/ml

来源于:KLH conjugated synthetic peptide derived from human Beta-arrestin 2:251-418/418

亚型:IgG

纯化方法:affinity purified by Protein A

储存液:0.01M TBS(pH7.4) with 1% BSA, 0.03% Proclin300 and 50% Glycerol.

​别    名:Beta-arrestin 2; Beta Arrestin 2; ARB 2; ARB2; ARR 2; ARR2; ARRB 2; ARRB2; ARRB2_HUMAN; Arrestin 3; Arrestin beta 2; Arrestin beta-2; BARR2; DKFZp686L0365; HGNC:712; Beta-arrestin-2.

保存条件:在-20°C下保存一年。避免重复冻融循环。冻干抗体在室温下至少稳定一个月,并在-20°C下保持一年以上。当在无菌pH7.4 0.01M PBS或抗体稀释剂中重组时,抗体在2-4°C下至少稳定两周。

产品介绍

抑制蛋白/β-抑制蛋白家族的成员被认为参与激动剂介导的G蛋白偶联受体脱敏,并导致细胞对激素、神经递质或感觉信号等刺激反应的特异性抑制。抑制蛋白β2和抑制蛋白β1一样,在体外被证明能抑制β肾上腺素能受体的功能。在中枢神经系统中高水平表达,可能在突触受体的调节中起作用。​

 

亚细胞位置:

细胞质。细胞核。细胞膜。膜>网格蛋白包衣坑。胞质囊泡。转移到质膜并与拮抗剂刺激的gpcrs共定位。

 

翻译后修改:

在细胞质的THR-382处磷酸化;可能在质膜处去磷酸化。磷酸化不调节adrb2的内化和循环,也不调节与网格蛋白或ap2b1的相互作用。

泛素化状态似乎调节β-抑制蛋白-gpcr复合物和信号的形成和运输。泛素化似乎发生在GPCR特异性。用mdm2泛素化;快速内化adrb2需要泛素化。由USP33脱泛素;脱泛素导致β-抑制蛋白gpcr复合物离解。刺激*gpcr,如adrb2,可诱导短暂泛素化,并随后促进与USP33的关联。刺激B类GPCR可促进持续的泛素化。

 

相似性:

属于被捕者家族。

 

重要注意事项:

β抑制因子-2又称β休止蛋白2,也是是调节CD4+T细胞存活和自身免疫性的关键因子,与促进T淋巴细胞存活和自身免疫发病相关。经研究发现β-arrestin不仅仅能阻断蛋白合成,也能诱导蛋白合成,参与信号传导。
对Arrestins家族的研究-探究β-arrestin在G蛋白偶联受体信号传导通路中的地位和作用,是当今生物学中信号传导研究领域的热门课题.
β抑制因子-1又称“胰岛素受体复合体”,近年来国内外科研人员对β-arrestin在II型糖尿病发生的研究机制方面有了新的突破,认为:β-arrestin缺少或下降可直接导致了胰岛素耐受和II型糖尿病的发生。
β-arrestin1蛋白β-arrestin2蛋白有高度的同源性。

本产品仅用于研究用途,不用于人类、治疗或诊断应用。

​​

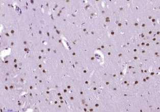
多聚甲醛固定,石蜡包埋(大鼠脑组织);用柠檬酸钠缓冲液(pH6.0)煮沸15min后获得抗原;用3%过氧化氢阻断内源过氧化物酶20分钟;阻断缓冲液(正常山羊血清)37℃30min;用β-抑制素2多克隆抗体进行抗体孵育。1:400在4°C下过夜,然后根据SP试剂盒(兔子)说明和DAB染色进行操作。​

公司优势:
1)质量:我司提供的的试剂为世界。
2)价格:价格实惠,量大从优。
4)服务:提供完整的售前、售后和售中服务。售后到底。

如需订购β-抑制蛋白2/β休止蛋白2/β-arrestin抗体​​​,请联系我们。

Anti-H-ras  原癌基因H-ras抗体
Anti-HSL(hormone-sensitive lipase)  荷尔蒙敏感脂肪酸抗体
Anti-HSP-27(Heat Shock Protein 27)  热休克蛋白-27抗体
Anti-HSP-60( Heat shock protein-60)  热休克蛋白-60抗体
Anti-HSP-70 (Heat shock protein-70)  热休克蛋白-70抗体
Anti-HSP-90α(Heat Shock Protein 90α )  热休克蛋白90α抗体
Anti-HSP-90α(Heat Shock Protein 90α )  热休克蛋白90α抗体
Anti-HSP-90β (heat sock protein-90β)  热休克蛋白-90β 抗体

留言框

  • 产品:

  • 您的单位:

  • 您的姓名:

  • 联系电话:

  • 常用邮箱:

  • 省份:

  • 详细地址:

  • 补充说明:

  • 验证码:

    请输入计算结果(填写阿拉伯数字),如:三加四=7
分享到:
版权所有©2019 上海晅科生物科技有限公司 备案号:京ICP证000000号
  • 扫一扫,关注我们