英文名称:Anti-AKT2
中文名称:蛋白激酶B2抗体(AKT2)
抗体来源:兔
克隆类型:多克隆
交叉反应:大鼠、小鼠、猪、牛、马
产品应用:WB=1:500-2000 ELISA=1:500-1000 IHC-P=1:400-800 IHC-F=1:400-800 ICC=1:100-500 IF=1:100-500(石蜡切片需做抗原修复)
尚未在其他应用程序中测试。
用户终应确定合适稀释浓度。
分子量:56kDa
细胞定位:细胞核 细胞浆 细胞膜
状态:冻干或液体
浓度:1mg/ml
来源于:KLH conjugated synthetic peptide derived from human AKT2:21-120/481
亚型:IgG
纯化方法:affinity purified by Protein A
储存液:0.01M TBS(pH7.4) with 1% BSA, 0.03% Proclin300 and 50% Glycerol.
别 名:C AKT; MGC9965; Oncogene AKT1; PKB; PRKBA; Protein Kinase B Alpha; RAC; RAC PK Alpha; RAC Serine/Threonine Protein Kinase; vAKT Murine Thymoma Viral Oncogene Homolog 1; AKT2_HUMAN; HIHGHH; AKT 2; AKT-2; Akt2; PKB beta; PKB-beta; PKBB; PKBBETA; PRKBB; Protein kinase Akt 2; Protein kinase Akt-2; Protein kinase B beta; RAC BETA; RAC beta serine threonine protein kinase; RAC PK beta; Rac protein kinase beta; Rac protein kinase beta; RAC-BETA; RAC-beta serine/threonine-protein kinase; RAC-PK-beta; V AKT Murine Thymoma Viral Oncogene Homolog 2.
保存条件:在-20°C下保存一年。避免重复冻融循环。冻干抗体在室温下至少稳定一个月,并在-20°C下保持一年以上。当在无菌pH7.4 0.01M PBS或抗体稀释剂中重组时,抗体在2-4°C下至少稳定两周。
产品介绍
这个基因是一个假定的癌基因,编码一个属于丝氨酸/苏氨酸激酶亚家族的蛋白质,包含sh2样(SRC同源2样)结构域。该基因在8个卵巢癌细胞系中的2个和15个原发性卵巢肿瘤中的2个被扩增和过度表达。过度表达导致人导管胰腺癌亚群的恶性表型。编码蛋白是一种普通的蛋白激酶,能够对几种已知的蛋白进行磷酸化。[由RefSeq提供,2008年7月]。
功能:
IGF-1导致Akt3的激活,可能在调节细胞存活中起到作用。能够磷酸化几种已知的蛋白质。
Subunit:
与Tcl1a相互作用(通过ph域);这增强了Akt3的磷酸化和活化。与交通6互动。
翻译后修改:
在THR-305和SER-472上的磷酸化是*活性所必需的。磷酸化的DNA损伤,可能由ATM或ATR。
泛素化的当*磷酸化并转移到细胞核中时,经过TTC3催化的“Lys-48”多泛素化,导致其被蛋白酶体降解。
相似性:
属于蛋白激酶超家族。Agc-Ser/Thr蛋白激酶家族。Rac亚家族。
包含1个AGC激酶C端域。
包含1个ph域。
包含1个蛋白激酶域。
重要注意事项:
本产品仅用于研究用途,不用于人类、治疗或诊断应用。
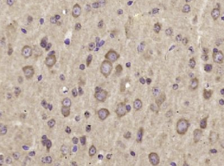
多聚甲醛固定石蜡包埋(小鼠脑);微波提取柠檬酸钠缓冲液(pH6.0)抗原;3%过氧化氢封闭内源性过氧化物酶30分钟;RT封闭缓冲液(3%BSA)30分钟;4℃1:400与(Akt2)多克隆抗体共孵育1:400过夜,随后进行B。Y与二级抗体(标记为HRP)的结合和DAB染色。
公司优势:
1)质量:我司提供的的试剂为世界。
2)价格:价格实惠,量大从优。
4)服务:提供完整的售前、售后和售中服务。售后到底。
如需订购蛋白激酶B2抗体(AKT2),请联系我们。
Anti-MyD88 (myeloid differential protein-88) 髓样分化蛋白抗体 |
Anti-Myelin P0 protein( peripheral myelin prothein Zero;MPZ;MPP) 外周髓磷脂P0蛋白/P0蛋白抗体 |
Anti-Myosin (Smooth Muscle) 鼠抗人心肌肌凝蛋白(平滑肌) 单抗 |
Anti-N-AChR α4 (Nicotinic-Acetylcholine receptor α4) 烟碱型乙酰胆碱受体α4抗体 |
Anti-N-AChR α7 (Nicotinic-Acetylcholine receptor α7) 烟碱型乙酰胆碱受体α7抗体 |
Anti-Nanog 胚胎干细胞关键蛋白抗体 |
anti-Natrexone 抗纳曲酮抗体IgG |
Anti-NAP1 (nucleosome assembly protein 1) 核小体组装蛋白1抗体 |