您的位置: 网站首页 >> 产品中心 >> >> 抗体 > ATP结合蛋白家族6抗体(ABCB6)
产品名称:

ATP结合蛋白家族6抗体(ABCB6)

产品型号: 产品时间: 2023-03-08
由该基因编码的膜相关蛋白是ATP结合盒(ABC)转运蛋白超家族的成员。ABC蛋白通过细胞外膜和细胞内膜转运各种分子。ABC基因分为7个不同的亚家族(abc1,mdr/tap,mrp,ald,oabp,gcn20,white)。这种蛋白是MDR/TAP亚家族的成员。MDR/TAP亚家族成员参与多药耐药和抗原呈递。这种半转运体可能在线粒体功能中起作用。该基因定位于ATP结合蛋白家族6抗体(ABCB6)

产品概述

英文名称:Anti-ABCB6​

中文名称:ATP结合蛋白家族6抗体(ABCB6)

抗体来源:兔子

克隆类型:多克隆

交叉反应:人、大鼠、小鼠、狗、猪、牛、马、豚鼠​

产品应用:ELISA=1:500-1000 IHC-P=1:400-800 IHC-F=1:400-800 IF=1:100-500(石蜡切片需做抗原修复)

尚未在其他应用程序中测试。

用户终应确定合适稀释浓度。

分子量:94kDa

细胞定位:细胞膜 线粒体

状态:冻干或液体

浓度:1mg/ml

来源于:KLH conjugated synthetic peptide derived from human ABCB6:401-520/842

亚型:IgG

纯化方法:affinity purified by Protein A

储存液:0.01M TBS(pH7.4) with 1% BSA, 0.03% Proclin300 and 50% Glycerol.

​别    名:ABC; ABC14; EST45597; ABC 14; ABC-14; ABCB 6; ABCB-6; PRP; UMAT; ABC transporter umat; MTABC3; Mt-ABC transporter 3; umat; Mitochondrial precursor; Mitochondrial ABC transporter 3; Mitochondrial abc protein 3; ATP-binding cassette, sub-family B, member 6, mitochondrial precursor; ATP binding cassette, sub family B (MDR/TAP), member 6; P glycoprotein related protein; Abcb6; ABCB6_HUMAN; ATP binding cassette sub family B member 6, mitochondrial precursor; ATP-binding cassette sub-family B member 6; Mitochondrial ABC transporter 3; mitochondrial; Mt ABC transporter 3; P-glycoprotein-related protein; Ubiquitously-expressed mammalian ABC half transporter; UMAT; Ubiquitously expressed mammalian ABC half transporter.

保存条件:在-20°C下保存一年。避免重复冻融循环。冻干抗体在室温下至少稳定一个月,并在-20°C下保持一年以上。当在无菌pH7.4 0.01M PBS或抗体稀释剂中重组时,抗体在2-4°C下至少稳定两周。

产品介绍

由该基因编码的膜相关蛋白是ATP结合盒(ABC)转运蛋白超家族的成员。ABC蛋白通过细胞外膜和细胞内膜转运各种分子。ABC基因分为7个不同的亚家族(abc1,mdr/tap,mrp,ald,oabp,gcn20,white)。这种蛋白是MDR/TAP亚家族的成员。MDR/TAP亚家族成员参与多药耐药和抗原呈递。这种半转运体可能在线粒体功能中起作用。该基因定位于2q26,被认为是致死性新生儿代谢综合征(线粒体功能紊乱)的候选基因。

 

功能:

结合血红素和卟啉并在其对线粒体的ATP依赖性摄取中发挥作用。在血红素合成中起着至关重要的作用。

 

Subunit:

同聚二聚体

 

亚细胞位置:

细胞膜。线粒体外膜;多道膜蛋白。内质网。高尔基体。

 

组织特异性:

广泛表达。视网膜上皮高表达。

 

疾病:

小眼症,孤立性,伴有缺损,7(mcopcb7)【mim:614497】:一种眼部形成障碍,范围从单眼小到*双侧眼组织缺失。也可能出现眼部异常,如角膜和晶状体混浊、视网膜和脉络膜瘢痕、白内障和其他异常,如白内障。眼缺损是由视杯、视柄形态异常和胎儿裂隙(视裂隙)融合所引起的一系列畸形。注=该疾病是由影响本条所述基因的突变引起的。

 

相似性:

属于ABC转运蛋白超家族。ABCB族重金属进口商(TC 3.A.1.210)亚科。

包含1个ABC跨膜1型域。

包含1个ABC Transporter域。

 

重要注意事项:

ABCB6蛋白对于红细胞携带氧,肝细胞破坏毒素以及细胞从摄取营养物质后排放能量方面发挥重要的作用。

本产品仅用于研究用途,不用于人类、治疗或诊断应用。

​​

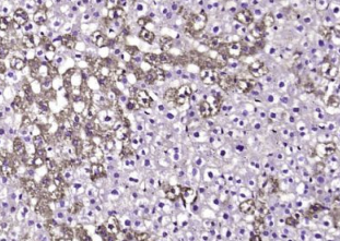
多聚甲醛固定,石蜡包埋(大鼠肝脏);用柠檬酸钠缓冲液(pH6.0)煮沸15min;用3%过氧化氢阻断内源过氧化物酶20分钟;阻断缓冲液(正常山羊血清)37℃30min;抗体(ABCB6)多克隆抗体在1:200过夜孵育。在4°C下,然后根据SP试剂盒(兔子)说明和DAB染色进行操作。

公司优势:
1)质量:我司提供的的试剂为世界。
2)价格:价格实惠,量大从优。
4)服务:提供完整的售前、售后和售中服务。售后到底。

如需订购ATP结合蛋白家族6抗体(ABCB6)​,请联系我们。

Anti-Nurr1  核受体相关因子-1抗体
Anti-OAS1(2',5'-oligoadenylate synthetase 1)  寡腺苷酸合成酶-1
Anti-OAT-1 (Organic anion transporter 1)human  阴离子转运蛋白-1(抗人;YT-0607R 抗大、小鼠)
Anti-OAT-1 (Organic anion transporter 1)mouse、rat  阴离子转运蛋白-1(抗大、小鼠:YT-0606R 抗人)
Anti-OAT-3(Organic anion transporter 3)  阴离子转运蛋白-3抗体

留言框

  • 产品:

  • 您的单位:

  • 您的姓名:

  • 联系电话:

  • 常用邮箱:

  • 省份:

  • 详细地址:

  • 补充说明:

  • 验证码:

    请输入计算结果(填写阿拉伯数字),如:三加四=7
分享到:
版权所有©2019 上海晅科生物科技有限公司 备案号:京ICP证000000号
  • 扫一扫,关注我们