您的位置: 网站首页 >> 产品中心 >> >> 抗体 > 转录因子MYB相关蛋白B抗体(B-Myb)
产品名称:

转录因子MYB相关蛋白B抗体(B-Myb)

产品型号: 产品时间: 2023-03-08
myb相关蛋白b(mybl2)是转录因子基因myb家族的一员,转录因子MYB相关蛋白B抗体(B-Myb)是一种参与调节细胞存活、增殖和分化的核蛋白。已证实激活细胞分裂周期2、细胞周期蛋白D1和胰岛素样生长因子结合蛋白5基因。

产品概述

英文名称:Anti-B MyB​

中文名称:转录因子MYB相关蛋白B抗体(B-Myb)

抗体来源:兔子

克隆类型:多克隆

交叉反应:人、小鼠、大鼠、狗、猪、牛、马、兔子​

产品应用:ELISA=1:500-1000 IHC-P=1:100-500 IHC-F=1:100-500 IF=1:200-800(石蜡切片需做抗原修复)

分  子 量:77kDa

​细胞定位:细胞核

状态:冻干或液体

浓度:1mg/ml

来源于:KLH conjugated synthetic peptide derived from human B MyB:101-200/700

亚型:IgG

纯化方法:affinity purified by Protein A

储存液:0.01M TBS(pH7.4) with 1% BSA, 0.03% Proclin300 and 50% Glycerol.

别    名:B-Myb; BMyB; MYB L2; Myb related protein B; Myb-like protein 2; Myb-related protein B; MybB; MYBB_HUMAN; MYBL 2; Mybl2; v myb avian myeloblastosis viral oncogene homolog like 2; v myb myeloblastosis viral oncogene homolog (avian) like 2; v myb myeloblastosis viral oncogene homolog like 2.

保存条件:在-20°C下保存一年。避免反复冻融。冻干抗体在室温下至少稳定一个月,并在-20°C下保持一年以上。当在无菌pH7.4 0.01M PBS或抗体稀释剂中重组时,抗体在2-4°C下至少稳定两周。

 

​产品介绍:

myb相关蛋白b(mybl2)是转录因子基因myb家族的一员,是一种参与调节细胞存活、增殖和分化的核蛋白。已证实激活细胞分裂周期2、细胞周期蛋白D1和胰岛素样生长因子结合蛋白5基因。

 

子单元:

DREAM复合体的组成部分(也称为Linc复合体),至少由E2F4、E2F5、Lin9、Lin37、Lin52、Lin54、MyBL1、MyBL2、RBL1、RBL2、RBBP4、TFDP1和TFDP2组成。这种复合物存在于静止细胞中,抑制细胞周期依赖性基因。当lin9、lin37、lin52和lin54形成一个子丛并结合到mybl22时,它在s相解离。

 

亚细胞位置:

原子核。

 

组织特异性:

参与调节细胞存活、增殖和分化的转录因子。激活clu基因的表达。

 

相似性:

包含3个HTH myb型DNA结合域。

 

重要提示:

本产品仅用于研究用途,不用于人类、治疗或诊断应用

​​​​

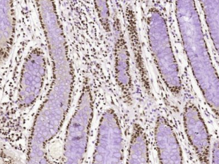
多聚甲醛固定,石蜡包埋(人结肠癌);用柠檬酸钠缓冲液(pH6.0)煮沸15min后获得抗原;用3%过氧化氢阻断内源性过氧化物酶20分钟;在37℃下封闭缓冲液(正常山羊血清)30min;用(B MYB)PO进行抗体孵育。未结合的单克隆抗体在1:400下在4°C下过夜,然后根据SP试剂盒(兔子)说明和DAB染色进行操作。

公司优势:
1)质量:我司提供的的试剂为世界。
2)价格:价格实惠,量大从优。
4)服务:提供完整的售前、售后和售中服务。售后到底。

如需订购转录因子MYB相关蛋白B抗体(B-Myb)​​​​​​​​,请联系我们。

Anti-CD36  CD36抗体
Anti-CD4(Mouse Anti-Human CD4 Monoclonal)  鼠抗人CD4单克隆抗体
Anti-CD4(Rabbit Anti-Human Mouse rat CD4 Palyclonal Antibody)  CD4抗体
Anti-CD4(Rabbit Anti-Human Mouse rat CD4 Palyclonal Antibody)  CD4抗体
anti-CD40L (CD40 Ligand/TNFSF5/CD154)  抗CD40L抗体

留言框

  • 产品:

  • 您的单位:

  • 您的姓名:

  • 联系电话:

  • 常用邮箱:

  • 省份:

  • 详细地址:

  • 补充说明:

  • 验证码:

    请输入计算结果(填写阿拉伯数字),如:三加四=7
分享到:
版权所有©2019 上海晅科生物科技有限公司 备案号:京ICP证000000号
  • 扫一扫,关注我们