您的位置: 网站首页 >> 产品中心 >> >> 抗体 > Bcr抗体
产品名称:

Bcr抗体

产品型号: 产品时间: 2023-03-08
Bcr抗体与融合伙伴ABL(CBR-ABL)基因易位有关,导致慢性粒细胞白血病(CML)。这种160kDa蛋白质包含一个丝氨酸/苏氨酸激酶域、一个SH2结合域、一个GTP/GDP交换域和一个C-端域,其作为p21rac和cdc42的GTPase激活蛋白发挥作用。此外,BCR参与信号转导,并能下调ras介导的细胞信号。

产品概述

英文名称:Anti-Bcr​

中文名称:Bcr抗体

抗体来源:兔子

克隆类型:多克隆

交叉反应:人、小鼠、大鼠、鸡、狗、牛、马、兔子​

产品应用:ELISA=1:500-1000 IHC-P=1:100-500 IHC-F=1:100-500 IF=1:100-500(石蜡切片需做抗原修复)

分  子 量:143kDa

​细胞定位:细胞浆

状态:冻干或液体

浓度:1mg/ml

来源于:KLH conjugated synthetic peptide derived from human Bcr:1201-1271/1271

亚型:IgG

纯化方法:affinity purified by Protein A

储存液:0.01M TBS(pH7.4) with 1% BSA, 0.03% Proclin300 and 50% Glycerol.

别    名:ALL; BCR 1; BCR/ABL FUSION GENE INCLUDED; BCR/FGFR1 FUSION GENE INCLUDED; BCR/PDGFRA FUSION GENE INCLUDED; BCR1; breakpoint cluster region; CML; PHL; BCR_HUMAN.

保存条件:在-20°C下保存一年。避免反复冻融。冻干抗体在室温下至少稳定一个月,并在-20°C下保持一年以上。当在无菌pH7.4 0.01M PBS或抗体稀释剂中重组时,抗体在2-4°C下至少稳定两周。

 

​产品介绍:

断点簇区域蛋白(BCR)与融合伙伴ABL(CBR-ABL)基因易位有关,导致慢性粒细胞白血病(CML)。这种160kDa蛋白质包含一个丝氨酸/苏氨酸激酶域、一个SH2结合域、一个GTP/GDP交换域和一个C-端域,其作为p21rac和cdc42的GTPase激活蛋白发挥作用。此外,BCR参与信号转导,并能下调ras介导的细胞信号。

 

功能:

rac1和cdc42的GTPase激活蛋白。通过gtp促进受rac或cdc42约束的gdp的交换,从而激活它们。显示丝氨酸/苏氨酸激酶活性。

 

子单元:

均四聚体。与pdzk1交互。可能与CCPG1交互。与FES/FPS、ABL1、PIK3R1和GRB2相互作用。与HCK相互作用。

 

亚细胞位置:

细胞质。

 

翻译后修改:

自磷酸化。在酪氨酸残基上被fes/fps磷酸化,导致bcr激酶活性下调。HCK在Tyr-177处的磷酸化对与Grb2的相互作用很重要。

 

疾病:

注=涉及BCR的染色体畸变是慢性髓性白血病的原因。易位t(9;22)(q34;q11)与abl1。易位产生BCR-ABL,也见于急性髓细胞白血病(AML)和急性淋巴细胞白血病(ALL)。

 

相似性:

包含1个C2域。

包含1个dh(dbl同源)域。

包含1个ph域。

包含1个rho-gap域。

 

重要提示:

本产品仅用于研究用途,不用于人类、治疗或诊断应用

​​

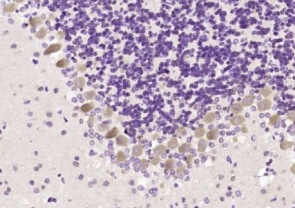
多聚甲醛固定,石蜡包埋(大鼠小脑);经柠檬酸钠缓冲液(pH6.0)煮沸15min后获得抗原;用3%过氧化氢阻断内源过氧化物酶20分钟;阻断缓冲液(正常山羊血清)37℃30min;用BCR多克隆抗体孵育未结合抗体在1:200下在4°C下过夜,然后根据SP试剂盒(兔子)说明和DAB染色进行操作。

公司优势:
1)质量:我司提供的的试剂为世界。
2)价格:价格实惠,量大从优。
4)服务:提供完整的售前、售后和售中服务。售后到底。

如需订购Bcr抗体​​​​​,请联系我们。

Anti-Dynamin 2(Anti-Human Dynamin-2 )  兔抗人鸟苷三磷酸酶-发动蛋白2抗体
Anti-Dysbindin/rhogap92b  精神分裂症易感基因抗体
Anti-E2F1  转录因子E2F-1抗体
Anti-E2F2  转录因子E2F-2抗体
Anti-E7 protein (Human papillomavirus type 16)  人乳头瘤病毒16型E7抗体
Anti-EAAT1/Glast(Excitatory amino acid transporters 1)  胶质细胞谷氨酸运载蛋白1 抗体

留言框

  • 产品:

  • 您的单位:

  • 您的姓名:

  • 联系电话:

  • 常用邮箱:

  • 省份:

  • 详细地址:

  • 补充说明:

  • 验证码:

    请输入计算结果(填写阿拉伯数字),如:三加四=7
分享到:
版权所有©2019 上海晅科生物科技有限公司 备案号:京ICP证000000号
  • 扫一扫,关注我们