英文名称:Anti-BTBD17
中文名称:BTB/POZ结构域蛋白17抗体(BTBD17)
抗体来源:兔子
克隆类型:多克隆
交叉反应:人、小鼠、大鼠、狗、绵羊
产品应用:WB=1:500-2000 ELISA=1:500-1000 IHC-P=1:100-500 IHC-F=1:100-500 IF=1:50-200(石蜡切片需做抗原修复)
分 子 量:49kDa
细胞定位:分泌型蛋白
状态:冻干或液体
浓度:1mg/ml
来源于:KLH conjugated synthetic peptide derived from human BTBD17:101-200/478
亚型:IgG
纯化方法:affinity purified by Protein A
储存液:0.01M TBS(pH7.4) with 1% BSA, 0.03% Proclin300 and 50% Glycerol.
别 名:BTB/POZ domain-containing protein 17; btbd17; BTBDH_HUMAN; Galectin-3-binding protein-like.
保存条件:在-20°C下保存一年。避免反复冻融。冻干抗体在室温下至少稳定一个月,并在-20°C下保持一年以上。当在无菌pH7.4 0.01M PBS或抗体稀释剂中重组时,抗体在2-4°C下至少稳定两周。
产品介绍:
btb(宽复合体、tramrack和bric a brac)域,也称为poz(poxvirus和zinc finger)域,是一个N端均聚域,包含多个Kelch重复和/或c2h2型zinc finger副本。含有btb结构域的蛋白质被认为通过控制染色质的结构和功能参与转录调控。btbd17(btb/poz结构域包含蛋白质17),也称为btbd17 a,galetin-3结合蛋白样或lgals3bpl,是一种478氨基酸蛋白质,包含一个btb(poz)结构域和一个back(btb/kelch相关)结构域。编码btbd17的基因映射到人类17号染色体,占人类基因组的2.5%以上,编码了1200多个基因。两个关键的肿瘤抑制基因与17号染色体有关,即p53和brca1。p53表达障碍或缺失与恶性细胞生长和Li-Fraumeni综合征有关。
亚细胞位置:
分泌的(潜在的)。
相似性:
包含1个back(btb/kelch关联)域。
包含1个BTB(POZ)域。
重要提示:
本产品仅用于研究用途,不用于人类、治疗或诊断应用
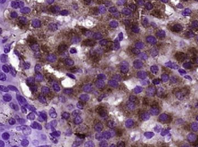
多聚甲醛固定,石蜡包埋(大鼠胰腺);经柠檬酸钠缓冲液(pH6.0)煮沸15min后恢复抗原;用3%过氧化氢阻断内源过氧化物酶20分钟;阻断缓冲液(正常山羊血清)37℃30min;用BTBD17多克隆抗体进行抗体孵育未结合抗体在1:400下在4°C下过夜,然后根据SP试剂盒(兔子)说明和DAB染色进行操作。
公司优势:
1)质量:我司提供的的试剂为世界。
2)价格:价格实惠,量大从优。
4)服务:提供完整的售前、售后和售中服务。售后到底。
如需订购BTB/POZ结构域蛋白17抗体(BTBD17),请联系我们。
Anti-Eukaryotic aspartyl protease(Rice) 天冬氨酸蛋白酶家族蛋白抗体(水稻蛋白的一种) |
Anti-EV71(Human enterovirus 71) 肠道病毒71型/手足口病病毒抗体 |
Anti-EXPB-2(beta-expansin)death inducer-obliterator-2 植物延展素-β |
Anti-Fabp2 (fatty acid binding protein 2, intestinal) 脂肪酸结合蛋白2抗体 |