英文名称:Anti-BMP9
中文名称:骨形态发生蛋白9抗体(BMP9)
抗体来源:兔子
克隆类型:多克隆
交叉反应:人,小鼠,大鼠,兔子
产品应用:WB=1:500-2000 ELISA=1:500-1000 IHC-P=1:100-500 IHC-F=1:100-500 IF=1:100-500(石蜡切片需做抗原修复)
分 子 量:12/47kDa
细胞定位:分泌型蛋白
状态:冻干或液体
浓度:1mg/ml
来源于:KLH conjugated synthetic peptide derived from human BMP9:351-429/429
亚型:IgG
纯化方法:affinity purified by Protein A
储存液:0.01M TBS(pH7.4) with 1% BSA, 0.03% Proclin300 and 50% Glycerol.
别 名:BMP 9; BMP-9; Bone morphogenetic protein 9; GDF 2; GDF2; GDF-2; growth differentiation factor 2; GDF2_HUMAN.
保存条件:在-20°C下保存一年。避免反复冻融。冻干抗体在室温下至少稳定一个月,并在-20°C下保持一年以上。当在无菌pH7.4 0.01M PBS或抗体稀释剂中重组时,抗体在2-4°C下至少稳定两周。
产品介绍:
该基因编码的蛋白是骨形态发生蛋白(BMP)家族和TGFβ超家族的成员。这组蛋白质的特点是有一个多碱基蛋白水解酶加工位点,该位点被切割成含有7个保守半胱氨酸残基的成熟蛋白质。这个家族的成员是胚胎和成人组织中细胞生长和分化的调节器。对啮齿类动物的研究表明,这种蛋白在成年肝脏和胆碱能中枢神经系统神经元的分化中起作用。[由RefSeq提供,2008年7月]。
功能:
可能参与骨形成。
子单元:
同二聚体;二硫键。
亚细胞位置:
秘密的。
相似性:
属于TGFβ家族。
重要提示:
本产品仅用于研究用途,不用于人类、治疗或诊断应用
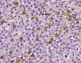
多聚甲醛固定,石蜡包埋(大鼠肝);柠檬酸钠缓冲液煮沸(15min)15min抗原回收;阻断内源性过氧化物酶3%过氧化氢20分钟;阻断缓冲液(正常山羊血清)在37°C 30分钟;抗体孵育与(多克隆)多克隆抗未结合体在1:400下在4°C下过夜,然后根据SP试剂盒(兔子)说明和DAB染色进行操作。
公司优势:
1)质量:我司提供的的试剂为世界。
2)价格:价格实惠,量大从优。
4)服务:提供完整的售前、售后和售中服务。售后到底。
如需订购骨形态发生蛋白9抗体(BMP9),请联系我们。
Anti-Histone H3(Family 3A、HISTIH3I protein、Histih 3A protein) 抗组蛋白抗体(AHA) |
Anti-Histone H3-like protein 抗组蛋白H3样抗体(N端抗体) |
Anti-Histone H3-like protein 抗组蛋白H3样抗体(C端抗体) |
Anti-Histone H3-like protein 抗组蛋白H3样抗体(N端抗体) |
Anti-HisX6/6His/His tag 聚组氨酸抗体/抗His tag标签抗体 |