您的位置: 网站首页 >> 产品中心 >> >> 抗体 > Bcl-2结合抑凋亡蛋白2抗体(BAG2)
产品名称:

Bcl-2结合抑凋亡蛋白2抗体(BAG2)

产品型号: 产品时间: 2023-03-08
Bcl-2结合抑凋亡蛋白2抗体(BAG2)袋蛋白与hip竞争结合到hsc70/hsp70 atpase结构域并促进底物释放。所有bag蛋白在C端附近都有一个大约45个氨基酸的bag结构域,但在N端区域有显著差异。预测的Bag2蛋白含有211个氨基酸。在体外和哺乳动物细胞中,bag1、bag2和bag3的bag结构域与hsc70 atpase结构域特异性相互作用。

产品概述

英文名称:Anti-BAG2​

中文名称:Bcl-2结合抑凋亡蛋白2抗体(BAG2)

抗体来源:兔子

克隆类型:多克隆

交叉反应:人、小鼠、大鼠、狗、猪、牛、马​​

产品应用:WB=1:500-2000 ELISA=1:500-1000 IHC-P=1:100-500 IHC-F=1:100-500 Flow-Cyt=2ug/Test IF=1:100-500(石蜡切片需做抗原修复)

分  子 量:24kDa

​细胞定位:细胞浆

状态:冻干或液体

浓度:1mg/ml

来源于:KLH conjugated synthetic peptide derived from human BAG2:151-211/211

亚型:IgG

纯化方法:affinity purified by Protein A

储存液:0.01M TBS(pH7.4) with 1% BSA, 0.03% Proclin300 and 50% Glycerol.

别    名:BAG 2; BAG-2; BAG family molecular chaperone regulator 2; BAG-2; Bag2; BAG2_HUMAN; BCL 2 associated athanogene 2; Bcl-2-associated athanogene 2; BCL2 associated athanogene 2; dJ417I1.2; KIAA0576; MGC149462.

保存条件:在-20°C下保存一年。避免反复冻融。冻干抗体在室温下至少稳定一个月,并在-20°C下保持一年以上。当在无菌pH7.4 0.01M PBS或抗体稀释剂中重组时,抗体在2-4°C下至少稳定两周。

 

​产品介绍:

袋蛋白与hip竞争结合到hsc70/hsp70 atpase结构域并促进底物释放。所有bag蛋白在C端附近都有一个大约45个氨基酸的bag结构域,但在N端区域有显著差异。预测的Bag2蛋白含有211个氨基酸。在体外和哺乳动物细胞中,bag1、bag2和bag3的bag结构域与hsc70 atpase结构域特异性相互作用。所有3种蛋白均与hsc70的atpase结构域高度亲和,并以hip可抑制的方式抑制其伴侣蛋白活性。​

 

重要提示:

本产品仅用于研究用途,不用于人类、治疗或诊断应用

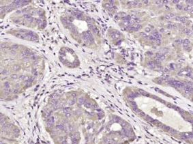
多聚甲醛固定,石蜡包埋(人肝癌);经柠檬酸钠缓冲液(pH6.0)煮沸15min后恢复抗原;用3%过氧化氢阻断内源性过氧化物酶20分钟;阻断缓冲液(正常山羊血清)37℃30min;用(BAG2)POL抗体孵育。未结合环抗体在1:400下在4°C下过夜,然后根据SP试剂盒(兔子)说明和DAB染色进行操作。

公司优势:
1)质量:我司提供的的试剂为世界。
2)价格:价格实惠,量大从优。
4)服务:提供完整的售前、售后和售中服务。售后到底。

如需订购Bcl-2结合抑凋亡蛋白2抗体(BAG2)​​​​,请联系我们。

Anti-NGX6 (nasopharyngeal caYTinoma/NPC associated gene 6)  鼻咽癌细胞相关基因6抗体
Anti-NHE1(Na+/H+ Exchanger)  钠氢通道蛋白抗体
Anti-NIK(NF-kappaB-Inducing Kinase)  NFkB诱导的激酶抗体
Anti-NIS(Na+/I-symporter)  钠碘转运体蛋白抗体
Anti-NK-1/SuYTtance P Receptor (Neurokinin receptor1;Tachykinin receptor1)  P物质受体抗体

留言框

  • 产品:

  • 您的单位:

  • 您的姓名:

  • 联系电话:

  • 常用邮箱:

  • 省份:

  • 详细地址:

  • 补充说明:

  • 验证码:

    请输入计算结果(填写阿拉伯数字),如:三加四=7
分享到:
版权所有©2019 上海晅科生物科技有限公司 备案号:京ICP证000000号
  • 扫一扫,关注我们