您的位置: 网站首页 >> 产品中心 >> >> 抗体 > 转录调节蛋白BACH1抗体
产品名称:

转录调节蛋白BACH1抗体

产品型号: 产品时间: 2023-03-08
转录调节蛋白BACH1抗体该基因编码一个转录因子,属于碱性区亮氨酸拉链因子家族(CNC Bzip)的帽领型。编码蛋白包含广泛的复合物、tramrack、bric-a-brac/poxvirus和锌指(btb/poz)结构域,这是CNC Bzip家族成员的非典型。这些btb/poz结构域促进蛋白质-蛋白质相互作用和形成同型和/或异低聚物。

产品概述

英文名称:Anti-BACH1​

中文名称:转录调节蛋白BACH1抗体

抗体来源:兔子

克隆类型:多克隆

交叉反应:人、小鼠、大鼠、鸡、狗、猪、牛、马、兔​

产品应用:WB=1:500-2000 ELISA=1:500-1000 IHC-P=1:100-500 IHC-F=1:100-500 IF=1:100-500(石蜡切片需做抗原修复)

分  子 量:81kDa

​细胞定位:细胞核

状态:冻干或液体

浓度:1mg/ml

来源于:KLH conjugated synthetic peptide derived from human BACH1:501-600/736

亚型:IgG

纯化方法:affinity purified by Protein A

储存液:0.01M TBS(pH7.4) with 1% BSA, 0.03% Proclin300 and 50% Glycerol.

别    名:BTB Domain And CNC Homolog 1; BTB And CNC Homology 1, Basic Leucine Zipper Transcription Factor 1; Basic Region Leucine Zipper Transcriptional Regulator BACH1; Transcription Regulator Protein BACH1; BTB And CNC Homolog 1; BACH-1; BTBD24; HA2303; BACH1_HUMAN;

保存条件:在-20°C下保存一年。避免反复冻融。冻干抗体在室温下至少稳定一个月,并在-20°C下保持一年以上。当在无菌pH7.4 0.01M PBS或抗体稀释剂中重组时,抗体在2-4°C下至少稳定两周。

 

​产品介绍:

该基因编码一个转录因子,属于碱性区亮氨酸拉链因子家族(CNC Bzip)的帽领型。编码蛋白包含广泛的复合物、tramrack、bric-a-brac/poxvirus和锌指(btb/poz)结构域,这是CNC Bzip家族成员的非典型。这些btb/poz结构域促进蛋白质-蛋白质相互作用和形成同型和/或异低聚物。当这种编码蛋白与mafk形成异二聚体时,它作为maf识别元件(mare)的阻遏物发挥作用,转录被抑制。已经鉴定出该基因的多个选择性剪接转录变体。[参考文献Seq提供,2009年5月]

 

功能:

作为抑制因子或激活因子的转录调节因子。体外与NF-E2结合位点结合。在mafk调控转录激活和抑制中起重要作用。

 

亚细胞位置:

原子核。

 

相似性:

属于bzip家族。CNC子家族。

包含1个BTB(POZ)域。

包含1个bzip域。

 

重要提示:

本产品仅用于研究用途,不用于人类、治疗或诊断应用

​​​

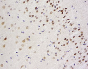
组织/细胞:大鼠脑组织;4%多聚甲醛固定石蜡包埋;

抗原提取:柠檬酸缓冲液(0.01M,pH 6),15min煮沸,用3%过氧化氢阻断内源性过氧化物酶30min;37℃下阻断缓冲液(正常山羊血清)20 min;

孵育:抗Bach1多克隆抗体,未结合1:200,4°C下过夜,然后与二级抗体结合,DAB染色。

公司优势:
1)质量:我司提供的的试剂为世界。
2)价格:价格实惠,量大从优。
4)服务:提供完整的售前、售后和售中服务。售后到底。

如需订购转录调节蛋白BACH1抗体​,请联系我们。

Anti-Nm23-H2 (nucleoside dIPhosphatase kinase B)  肿瘤抑制基因抗体
Anti-Nociceptin  孤菲肽/痛敏肽抗体
Anti-Nociceptin receptor  孤菲肽受体/痛敏肽受体抗体
Anti-Nogo R/NGR  轴索过度生长抑制因子受体/Nogo受体抗体
Anti-Nogo-A  轴索过度生长抑制因子-A抗体

留言框

  • 产品:

  • 您的单位:

  • 您的姓名:

  • 联系电话:

  • 常用邮箱:

  • 省份:

  • 详细地址:

  • 补充说明:

  • 验证码:

    请输入计算结果(填写阿拉伯数字),如:三加四=7
分享到:
版权所有©2019 上海晅科生物科技有限公司 备案号:京ICP证000000号
  • 扫一扫,关注我们